Ovulation Induction and Cycle Monitoring

Ovulation induction involves the use of medications to stimulate the development of one or more mature follicles in a woman’s ovaries, and then releasing them to be pulled by the tube where they will meet the sperms.

*Historically, the use of agents to induce ovulation (egg development and release) were designed to induce ovulation in women, who themselves, did not ovulate. These were women with irregular menstrual cycles. The goal of this treatment was to produce a single, healthy egg and started with the simplest agents (typically oral).

* The second use of ovulation induction was to increase the number of eggs reaching maturity in a single cycle to increase chances for conception. The initial agents for this treatment (used first for IVF and only later for simpler treatments) were injectable medications. These agents carry an increased risk of multiple gestation, ovarian hyperstimulation, and increased cost and time commitment.
* Nowadays, there are a panel of medications that can be used for ovulation induction, both in oral and injectable forms. This has allowed different protocols that can be tailored according to the case specific medical circumstances.

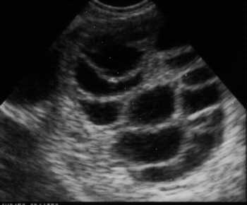
* Pelvic ultrasound scans are used to access the endometrium (lining of the womb), and to determine how the follicles are developing. Pelvic ultrasound is usually carried through the vagina to gain better resolution for the accurate assessment, to adjust the dose of medications, and to reduce the risk of developing hyperstimulation Blood tests may also be carried out to measure hormone levels and helps to determine when ovulation is imminent.

*Ovulation induction cycles are followed by a hCG injection to induce ovulation. Timed sexual intercourse can then take place or Intrauterine Insemination at a given period of time.
* Ovulation induction should only progress after a complete and thorough evaluation. All underlying hormonal disorders (such as thyroid dysfunction, or raised prolactin secretion) should be treated prior to resorting to ovulation induction with fertility drugs.
* The use of ovulation induction should not be used for over 3-6 cycles according the age of the woman. If completed for the given number of cycles without getting pregnant, this indicates the presence of other factors preventing pregnancy.